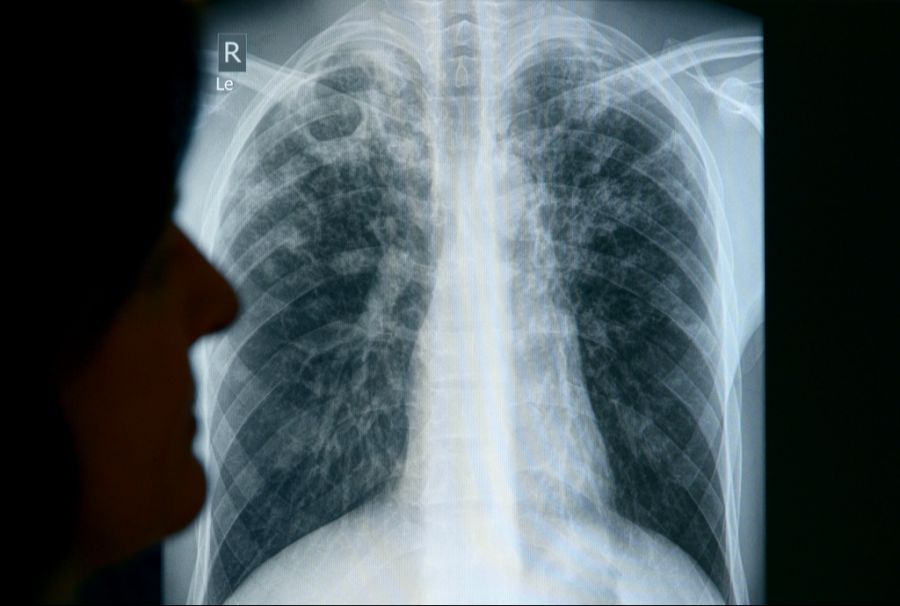
Tuberkulose hat in den letzten Jahren in der Schweiz zugenommen
Die Tuberkulose-Fälle in der Schweiz nehmen zu, vor allem bei Migranten.

Das Wichtigste in Kürze
- Tuberkulose-Fälle in der Schweiz steigen.
- 475 Fälle wurden seit Jahresbeginn gemeldet, das ist ein Anstieg um 26%.
- Ältere Einheimische und junge Migranten sind besonders betroffen.
Tuberkulose-Fälle nehmen in der Schweiz zu. Das liegt wahrscheinlich daran, dass vermehrt Menschen aus Regionen mit einer hohen Häufigkeit von Tuberkulose in die Schweiz einwandern. Das teilte das Bundesamt für Gesundheit (BAG) der Nachrichtenagentur Keystone-SDA mit.
Unter den in der Schweiz geborenen Personen gibt es laut dem BAG keine Zunahme an Tuberkulose-Fällen.
Seit Jahresbeginn wurden dem BAG laut den neuesten Zahlen 475 Tuberkulose-Fälle gemeldet. In den beiden Vorjahren waren es zum gleichen Zeitpunkt 376 und 375 Fälle. Das entspricht einem Anstieg von etwa 26 Prozent.
Erfahrungsgemäss werde die Zahl durch negative Bestätigungstests aber noch abnehmen, hiess es vom BAG. Es ist noch unklar, ob es sich im aktuellen Jahr tatsächlich um eine Zunahme von 26 Prozent handelt. Eine abschliessende Bestimmung ist noch nicht möglich
Allerdings stellte das BAG bereits im Jahr 2023 einen Anstieg von Tuberkulosefällen fest. Besonders betroffen waren junge Migrantinnen und Migranten.
Ältere Einheimische und junge Migranten besonders betroffen
Unter den in der Schweiz geborenen Personen seien vor allem ältere Menschen betroffen, so das BAG weiter. Viele von ihnen hätten sich in ihrer Kindheit infiziert, als Tuberkulose auch in der Schweiz noch häufiger war.
Die Tuberkulose wird durch bestimmte Arten von Mykobakterien verursacht, am häufigsten durch das Mycobacterium tuberculosis. Die Übertragung erfolgt, indem eine an Lungentuberkulose erkrankte Person bakterienhaltige Tröpfchen aushustet. Diese Tröpfchen schweben dann in der Raumluft und werden von anderen eingeatmet.
Für eine Ansteckung ist meist ein Aufenthalt im gleichen Raum über Stunden erforderlich.
Gegen Tuberkulose existiert eine Impfung. Diese ist in der Schweiz allerdings nicht verfügbar. Nach Angaben des BAG ist die Tuberkulose mit speziellen Antibiotika über Monate meist gut behandelbar.
Ohne Behandlung verläuft sie, nach einer meist längeren Erkrankung, oft tödlich.











